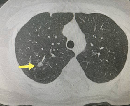
磨玻璃结节是不是早期肺癌?它有什么特点?
但是告诉大家磨玻璃结节大家不要担心,它不会影响我们的生命,不会影响我们的健康。
1、绝大多数的磨玻璃结节是良性的比如说炎症、肺的纤维化、肺内的小的微细血管的出血等等,都会引起磨玻璃样的改变。
2、即使是肿瘤,即使跟肿瘤相关,磨玻璃结节也是肿瘤的早期中的早期状态或者叫做前期状态。我们医学上称作腺体前驱病变,就是癌前病变。可能3年5年10年8年它都不会生长,因此它不影响我们的健康,不影响我们的生命
磨玻璃结节是不是早期肺癌?它有什么特点?
但是告诉大家磨玻璃结节大家不要担心,它不会影响我们的生命,不会影响我们的健康。
1、绝大多数的磨玻璃结节是良性的比如说炎症、肺的纤维化、肺内的小的微细血管的出血等等,都会引起磨玻璃样的改变。
2、即使是肿瘤,即使跟肿瘤相关,磨玻璃结节也是肿瘤的早期中的早期状态或者叫做前期状态。我们医学上称作腺体前驱病变,就是癌前病变。可能3年5年10年8年它都不会生长,因此它不影响我们的健康,不影响我们的生命